おとなの前歯の部分矯正・費用
簡単に前歯だけ!早く治したい方に、前歯の部分矯正!
前歯だけでいいのできれいになりたい!という成人の方に!
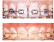
前歯部(犬歯から犬歯)にブラケットをつけて、前歯4本を綺麗にします。
3か月~6か月で綺麗になりましょう!
※奥歯はかみ合わせや歯の状態により、矯正では治療できない場合もあります。まずはご相談ください。
★☆★☆★☆★☆★☆★☆★☆★☆★☆★☆★☆★☆★☆★☆★☆★☆★☆★☆★☆★☆★☆★☆★☆★☆★☆★☆★

- ↓ 5ヵ月後


- ↓ 3ヵ月後


- ↓ 5ヵ月後


- ↓ 5ヵ月後


- ↓ 3ヵ月後


- ↓ 5ヵ月後

★☆★☆★☆★☆ 料金表(消費税抜き)★☆★☆★☆★☆★☆★☆★☆★☆★☆★☆★☆★☆★☆★☆★☆★☆★
★検査料 6万円 (税抜)
★唇側矯正 35万円 (上下では 70万円)
*追加料金: ホワイトブラケットの場合 +5万円(上下では10万円)
および月々 管理料 2万円(毎月、月初めに頂きます)
★見積例(消費税抜き)
唇側矯正(メタル) 上顎前歯のみでは…3か月で終えると 41万円
唇側矯正(ホワイト) 上下顎前歯では …6か月で終えると 92万円
★治療を終えられたら、観察料(1万円)がご来院毎に必要です(観察は通常3ヶ月毎)
ACCESS
〒565-0842
大阪府吹田市千里山東1-4-12
興亜殖産関大駅前ビルディング3F
ときざね矯正歯科
06-6338-6712
休診日:木・金・日曜・祝日
近くにタイムズ駐車場(30分の駐車券有)
診療時間
| 診療時間 | 月 | 火 | 水 | 木 | 金 | 土 | 日 | |||
|---|---|---|---|---|---|---|---|---|---|---|
| 9:30-12:30 | × | × | × | × | × | ▲ | × | |||
| 14:00-20:00 | ● | ● | ● | × | × | ▲ | × | |||
受付は30分前まで ▲9:30-12:00 14:00-18:00
休診日:木・金・日曜・祝日
